

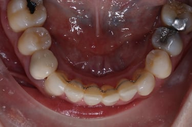
Nothing builds trust like seeing real results. This gallery showcases actual cases treated and planned by Dr. Mehta in her Bedford practice. These results include the some of cases that have won her international awards and nominations.
These images serve as visual proof of the high standard of care you can expect. You can see why other clients were amazed with the results and how effective advanced clear aligner therapy can be across a range of complexities.
Before & After photos






before
after
Case Example =full set of photos
Case Example =full set of photos
neeta mehta
neeta mehta
neeta mehta
neeta mehta
neeta mehta
neeta mehta
neeta mehta
neeta mehta
neeta mehta
neeta mehta
neeta mehta
neeta mehta
neeta mehta
neeta mehta
neeta mehta
neeta mehta


before
after
If we still haven't convinced you...
"I am super happy with my outcome! Neeta was brilliant throughout the process and accommodated to my wishes and schedule. I would recommend Invisalign to anyone who isn't satisfied with their smile, it really has made a world of difference to me!"
-IE
"Before I came, I wasn't confident smiling and didn't like photos. Now, I am very happy with smiling and I think I do it much more! I chose this practice because it was local and had a good offer on. Very pleased. Neeta was wonderful, patient, professional and explained everything thoroughly. I felt so comfortable in my appointments. I would definitely recommend the treatment and Neeta to anyone considering it.
- AC
"I decided to go forward with Invisalign because I wasn't happy with my bottom teeth. Since I've had the treatment, I've felt a lot more confident and have had lots of compliments from friends and family. I'm very happy with the outcome, Dr Neeta did an amazing job. Thank you very much!"
- EB
“Before having my Invisalign treatment, I lacked confidence and hated my photos. I decided to invest and go ahead with the Invisalign treatment and I am so glad that I did! I have so many compliments on my new straight teeth and no longer try and hide them in photos. Neeta & her dental nurse have been amazing! I’m so happy with my new smile- it was well worth the money! Thank you.”
-LB
"Neeta and her nurse have been amazing through my whole Invisalign journey. The explanations were in depth and Neeta has kept in contact with me throughout the whole treatment plan. They have managed to exceed my expectations with the outcome. I love my smile for the first time ever! Thank you."
- AO
"I can't thank the practice and Neeta enough! I love my new smile and get compliments all the time now. Invisalign was the best investment I have made and I would recommend it to anyone looking to straighten their teeth. My teeth were quite crooked and the results Neeta had been able to achieve were amazing, beyond my expectations!
- EB
"Neeta was great from start to end - I was very nervous getting this done. I hadn't been to the dentist in a long time, but I was happy to be finally getting a brand new smile. When looking at the first stages of photos you don't realise how bad your own teeth are, then when you get the end of the last photos the difference was amazing for me! I have grown so much in confidence, and I couldn't have done it without Neeta's help. I would like to thank her and her nurse for their amazing service and being lovely people!
- GS
“My teeth had always bothered me and Invisalign was a perfect solution as I didn’t want a fixed brace. Neeta talked me through the whole process and answered any queries I had during my Invisalign journey. I smile with such confidence now. The only regret I have is not doing it sooner! Thank you!"
-AW
